2026年 | プレスリリース・研究成果
原因不明の脳の炎症に先天性免疫異常症が潜む-CLIPPERSが疑われた若年患者でFHL3を同定し、造血幹細胞移植による治療へ-
【本学研究者情報】
〇東北大学大学院医学系研究科 小児病態学分野
准教授 笹原洋二
助教 片山紗乙莉
研究室ウェブサイト
【発表のポイント】
- 原因不明とされやすいCLIPPERS様の中枢神経炎症の一部に、先天性免疫異常症が背景として存在し得ることを解明
- CLIPPERSが疑われた若年患者2例において、遺伝学的解析と免疫細胞機能解析により家族性血球貪食性リンパ組織球症3型(FHL3)と診断し、根治治療である同種造血幹細胞移植により症状の改善を確認
- CLIPPERS様症状を示す患者では、年齢や全身症状の有無にかかわらず、先天性免疫異常症を念頭に置いた評価と診断が重要であることを提示
【概要】
東京科学大学(Science Tokyo)医歯学総合研究科 脳神経病態学分野の佐川博貴大学院生、平田浩聖プロジェクト助教(研究当時、現・米国マウントサイナイ医科大学博士研究員)および小児地域成育医療学講座の金兼弘和寄附講座教授らの研究グループは、東北大学大学院医学系研究科小児病態学分野の笹原洋二准教授、片山紗乙莉助教、京都大学、防衛医科大学校との共同研究により、CLIPPERS(注1)様の中枢神経炎症を呈した若年患者の中に、乳児〜小児期に発症することが多い先天性免疫異常症(注2)の一つである家族性血球貪食性リンパ組織球症3型(FHL3)(注3)が背景に存在することを報告しました。CLIPPERSは原因不明とされることが多い病気ですが、年齢にかかわらず先天性免疫異常症の可能性を考慮し、適切に診断することで、根治治療である同種造血幹細胞移植(注4)につながる可能性がある点に意義があります。
本成果は、国際科学誌 Journal of Clinical Immunology に、2026年3月5日(現地時間)付でオンライン版として発表されました。
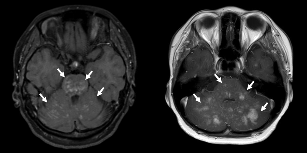
図 本研究で報告した2症例の頭部MRI(造影T1強調)画像
小脳と脳幹に、白く造影される点状・結節状の病変を多数認め(矢印)、CLIPPERSに類似する所見を示した。
【用語解説】
注1. CLIPPERS
Chronic lymphocytic inflammation with pontine perivascular enhancement responsive to steroidsの略。脳幹(特に橋)や小脳を中心に脳や脊髄に炎症が起き、造影MRIで小さな点状の造影所見が多数みられることが特徴。多くの例でステロイド治療に反応するが、なぜ炎症が起きるのかは十分に分かっていない。
注2. 先天性免疫異常症
生まれつき免疫の働きに偏りや不足がある病気の総称で、感染症にかかりやすくなるだけでなく、免疫が過剰に反応して炎症が続く場合もある。乳児期や小児期だけでなく、思春期や成人になってから発症することもある。近年、遺伝子解析の進歩により診断が進んでいる。
注3. 家族性血球貪食性リンパ組織球症(FHL)
先天性免疫異常症の一つで、免疫が過剰に反応して全身に強い炎症を起こす病気。発熱や血球減少、肝脾腫などを来し、重症化することがある。原因となる遺伝子により複数の病型に分かれ、FHL3型(FHL3)はUNC13D遺伝子の変異によるものである。FHL3では、ウイルス感染細胞などを攻撃する細胞傷害性T細胞やNK細胞の働きが弱くなり、炎症が収束しにくくなることがある。
注4. 同種造血幹細胞移植
患者さんの異常な造血細胞を健康な提供者(ドナー)の造血幹細胞と入れ替える治療であり、先天性免疫異常症の一部では、根治を目指せる治療として位置づけられる。
【論文情報】
タイトル:Two cases of CLIPPERS-like syndrome sharing a hypomorphic UNC13D variant
著者: Hirotaka Sagawa, Kosei Hirata, Saori Katayama, Hirofumi Shibata, Etsushi Toyofuku, Shuya Kaneko, Yu Katata, Yusuke Takezawa, Mitsugu Uematsu, Iichiroh Onishi, Yuto Yamazaki, Takaaki Hattori, Masahide Yamamoto, Masaki Shimizu, Kohsuke Imai, Takahiro Yasumi, Tomohiro Morio, Takanori Yokota, Yoji Sasahara, Hirokazu Kanegane
掲載誌:Journal of Clinical Immunology
DOI:10.1007/s10875-026-01988-1
問い合わせ先
東北大学大学院医学系研究科・医学部広報室
東北大学病院広報室
TEL:022-717-8032
Email:press.med*grp.tohoku.ac.jp(*を@に置き換えてください)

![]()
東北大学は持続可能な開発目標(SDGs)を支援しています